
Використання естетичних коронок в дитячій стоматології дозволяє лікарю провидити естетичне, функціональне і прогнозоване відновлення втрачених або уражених твердих тканини зубів у дітей. Наш курс допоможе Вам освоїти їх використання, щоб мати можливість швидко та професійно проводити стоматологічну реабілітацію пацієнтів цією методикою.
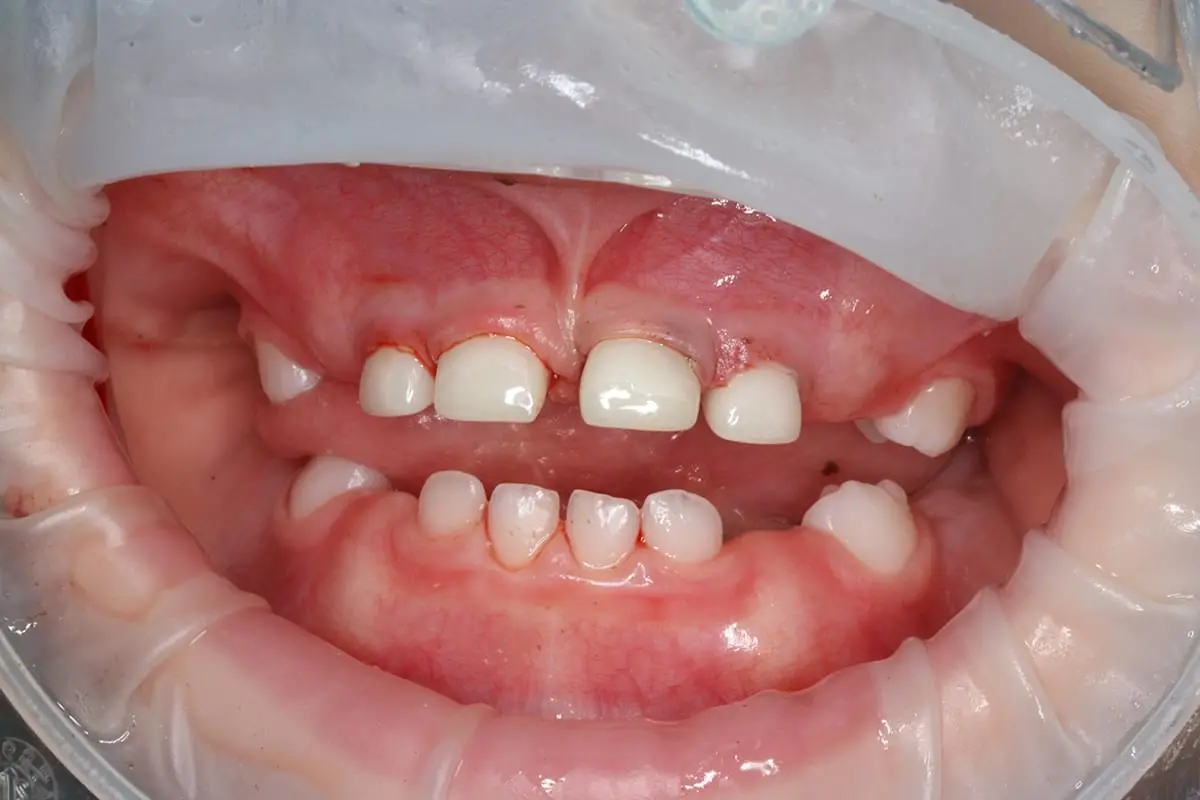
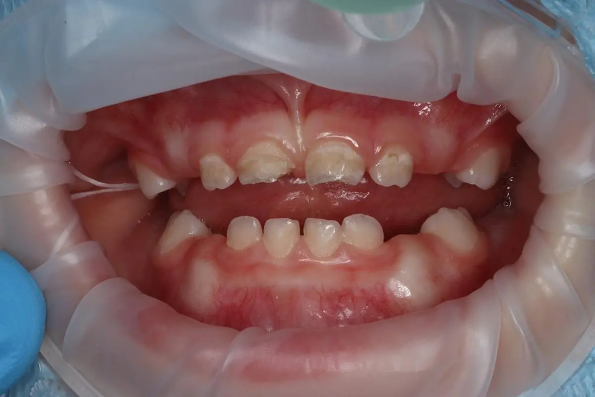
Все частіше на стоматологічному прийомі дітей ми зустрічаємось із бажанням батьків провести лікування їх дітей максимально ефективно прогнозовано і… естетично. У випадку незначного руйнування твердих тканин це нескладно реалізувати за допомогою композиційних реставрацій, а що робити, коли від зуба залишилось дуже мало?
На нашому курсі ми детально розберемо показання та протипоказання до застосування естетичних коронок, їх переваги над іншими методами відновлення твердих тканин.
Максимально детально ми розбираємо кожен етап підготовки та обробки твердих тканин зубів у дітей для постановки естетичних коронок. Матеріал скомпонований таким чином, щоб звести до мінімуму можливість помилок та ускладнень та зробити роботу з естетичними коронками максимально простою і прогнозованою.
Понад 5 років досвіду застосування стандартних естетичних коронок на дитячому прийомі дали нам можливість систематизувати та ділитись знаннями, які потрібні практикуючому лікарю для освоєння цієї методики. Ми опанували та адатували протокол роботи з естетичними коронками у дітей таким чином, що його можна просто і ефективно відтворити на прийомі.
Дитячі стоматологи і лікарі загальної практики, які приймають маленьких пацієнтів, лікарі-інтерни та студенти-стоматологи - наш курс буде цікавий і корисний кожному, хто вже займається і тільки планує опановувати дитячу стоматологію.