
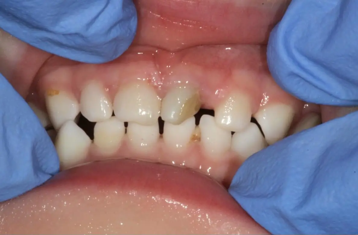
Травма - те, що може статися з будь ким і в будь який момент. А особливо це стосується дітей, які починають активно освоювати навколишнє середовище. Тому знати і вміти зреагувати на травму тимчасового зуба є стратегічно важливим для дитячого стоматолога.
Нерідко, на жаль, трапляються ситуації, коли діти травмують тимчасові зуби. В такому випадку часу на роздуми, як правило, не так багато. Рішення потрібно приймати швидко, часу на підготовку, як правило немає. Саме тому дитячому стоматологу потрібно розуміти, що потрібно робити, а що робити не потрібно. Травми коронкової частини і кореня, навколишніх тканин - що, як і коли робити? В якому випадку терміново втручатись, як коли спостерігати.
Наш курс буде корисний усім стоматологам, адже звернутись з травмою можуть до кожного стоматолога.